Implantoloģija

Dzīve bez zobiem nav jāpieņem kā norma- risinājumi ir iespējami! Zobu implanti ir ilgtermiņa risinājums, kas izskatās un funkcionē tieši tāpat kā dabiskie zobi. tieši tāpat kā dabiskie zobi.

Kā notiek zobu implantēšana?

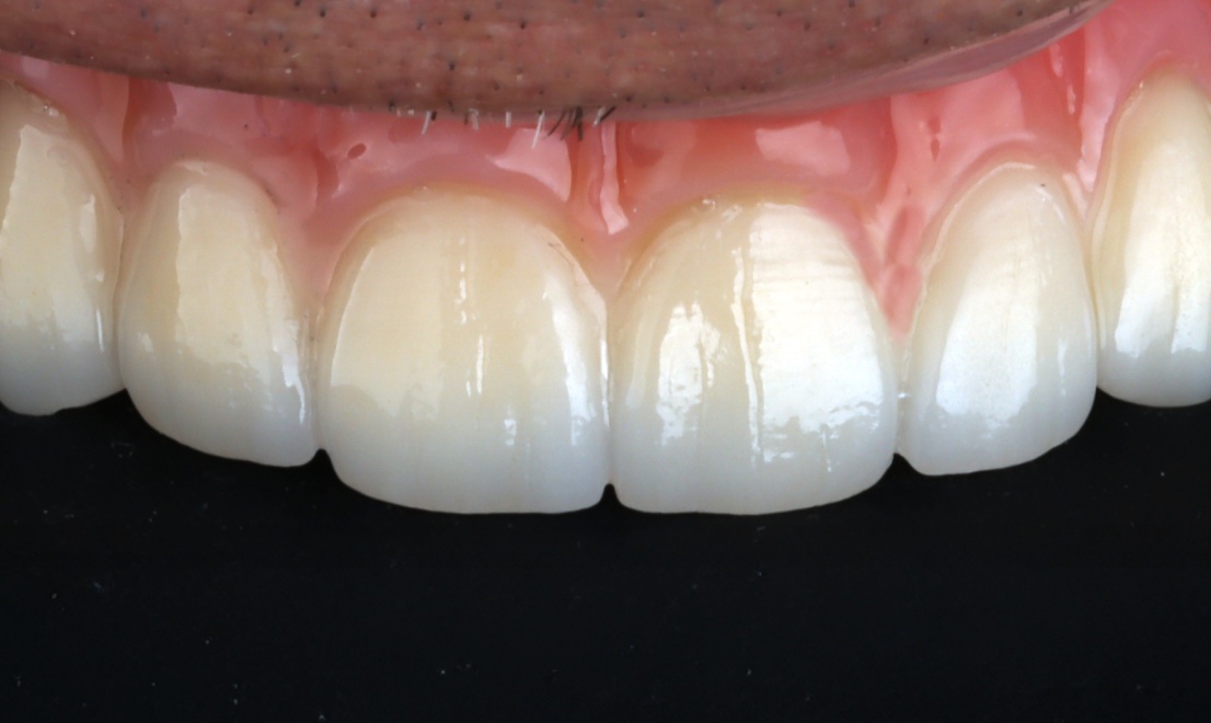
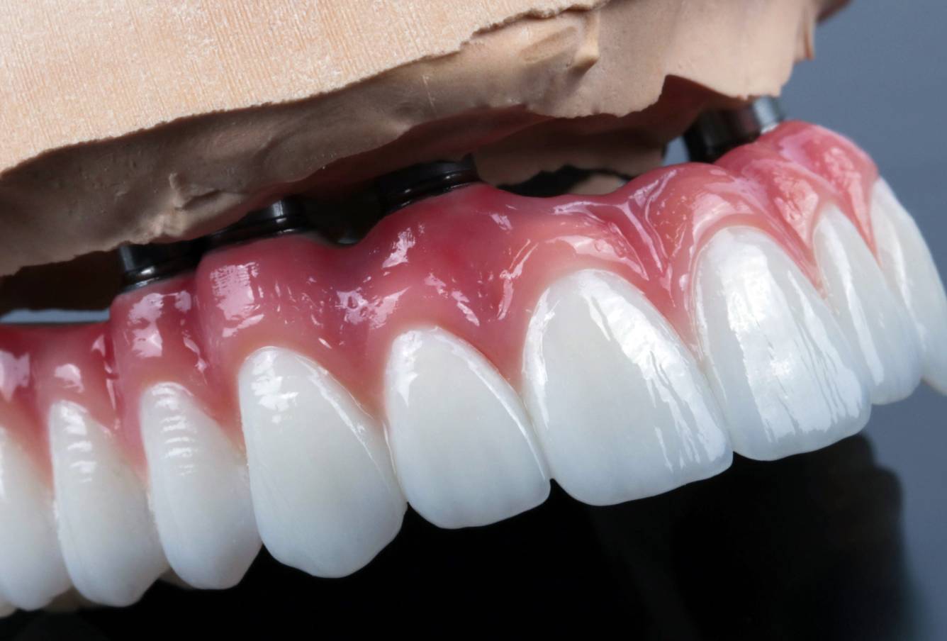
Zobu implantēšanas process sākas ar neliela titāna balsta ievietošanu žokļa kaulā, kas dabiski ieaug kaulā laika gaitā, lai veidotu stabilu pamatu. Pēc balsta sadzīšanas tiek uzlikts individuāli izgatavots kronis, atjaunojot pacienta dabisko zobu izskatu un darbību.

KĀPĒC BŪTU JĀATJAUNO TRŪKSTOŠIE ZOBI?

  • Aizsargā mutes dobuma veselību — novērš blakus esošo zobu nobīdīšanos un saglabā pareizu sakodienu.
  • Saglabā žokļa kaulu — implantoloģija stimulē kaula struktūru, novēršot kaulu zudumu un sejas ovāla izmaiņas.
  • Uzlabo funkcionalitāti — ir iespējams atjaunot dabisko spēju sakošļāt ēdienu un runāt, atvieglojot ikdienas dzīvi.
  • Uzlabo pārliecību — tiek aizstāti trūkstošie zobi, veidojot dabisku smaidu, kas uzlabo pārliecību par sevi.

IMPLANTOLOĢIJAS POSMI

01

Implanta ievietošana

Šī procedūra sākas ar precīzu titāna implanta ievietošanu žokļa kaulā. Tas notiek vietējā anestēzijā. Implants darbojas kā dabiska zoba sakne, nodrošinot izturīgu un stabilu pamatu zoba protēzei.

02

Sadzīšana

Dažu nākamo mēnešu laikā implants dabiski saaug ar žokļa kaulu. Šis posms ir būtisks ilgtermiņa stabilitātes nodrošināšanai, jo implants var funkcionēt tieši tāpat kā zoba īstā sakne. Mēs uzraugam dzīšanas procesu, lai nodrošinātu optimālu rezultātu.

03

Kronīša uzlikšana

Kad implants ir pilnībā ieaudzis kaulā, mēs precīzi pieskrūvējam īpaši izveidotu kronīti, ko iepriekš izgatavojam laboratorijā. Kronis pilnībā atjauno zobu funkciju un estētisko izskatu, un jūs varat brīvi ēst, runāt un smaidīt ar pārliecību

VISUZTICAMĀKĀ ZOBU ATJAUNOŠANA

  • Implanti nemanāmi iederas dabisko zobu rindā gan izskata, gan funkcijas ziņā.
  • Ja tos pareizi kopj, implanti var kalpot visu mūžu, kas tos padara par ilgtspēlējošu izvēli.
  • Tie novērš kaula zudumu un saglabā jūsu sejas dabisko formu.
  • Atšķirībā no zobu tiltiem implantu gadījumā nav jāslīpē un jāietekmē blakusesošie zobi.

IEPAZĪSTIET MŪSU ĀRSTUS

Par jums parūpēsies vieni no labākajiem implantoloģijas ekspertiem

Uldis Spulle

Atsauksmes

Man bija ļoti bail izraut visus četrus gudrības zobus, bet Dr. Spulle un viņa komanda paveica lielisku darbu – tas bija ātri, nesāpīgi, un atveseļošanās noritēja viegli, bez pietūkuma un iekaisuma. Liels paldies! Esmu priecīga, ka izvēlējos šo klīniku.

Evita Kviese-Poliņa

Labākā zobārstniecība! Ātri un kvalitatīvi atjaunoja zaudētu zobu ar implantu un cirkonija kroni. Nevar atšķirt no īsta zoba. Paldies!!!

Yuriy Korolev

Lieliska zobārstniecības klīnika ar profesionāliem zobārstiem. Ķirurģija tiek veikta augstā līmenī! Arī protēzēšana ir izcila – ar lielisku estētisko redzējumu. Iesaku!

Alexander “schuremann” Platz

Jau pāris gadus nāku tikai uz šo klīniku – moderna, patīkama. Šoreiz bija nepieciešami ātrāki pieraksti un tiku pie daktera Butāna. Nevaru iedomāties labāku aprūpi un profesionalitāti no zobārsta puses. Paldies!

Zane Pavāre

B.U.J.

Atrodiet atbildes uz pacientu visbiežāk uzdotajiem jautājumiem. Ja jums ir vēl kādi jautājumi, pierakstieties uz konsultāciju, kur mūsu speciālists sniegs visu informāciju.

Nē, procedūra tiek veikta lokālajā anestēzijā, kas nodrošina komfortu. Vairums pacientu jūt tikai nelielu diskomfortu — tāpat kā parastas zobu ārstēšanas laikā.

Viss process var aizņemt vairākus mēnešus, jo implantam nepieciešams laiks, lai ieaugtu žokļa kaulā. Tomēr katrs gadījums ir atšķirīgs, un mēs būsim kopā ar jums visos šā procesa posmos.

Tieši tāpat kā par parastajiem zobiem — regulāri jātīra, jāizmanto zobu diegs un regulāri jādodas pie ārsta, lai implants saglabātu ideālu stāvokli daudzus gadus.

Vairums cilvēku, kuru veselība ir laba un kam ir pietiekami žokļa kaula, var izvēlēties implantus. Konsultācija palīdzēs noteikt vislabāko risinājumu jūsu vajadzībām.

PIETEIKTIES KONSULTĀCIJAI

Mūsu specialisti ir šeit, lai palīdzētu jums iegūt sapņu smaidu un atbrīvot no zobu sāpēm.piesakieties vizītei, lai uzzinātu vairāk par procedūrām.

VAI AIZPILDIET VEIDLAPU