Estētiskā zobārstniecība

Modernā estētiskā zobārstniecība piedāvā risinājumus dažādām problēmām, palīdzot iegūt smaidu, kas jums patiks. Mērķis ir uzlabot gan zobu izskatu, gan funkciju, veidojot dabisku un pārliecinātu smaidu, kas harmoniski iekļaujas kopējā sejas izskatā

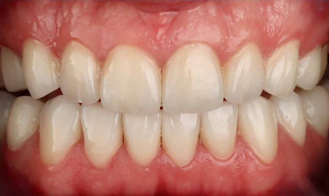
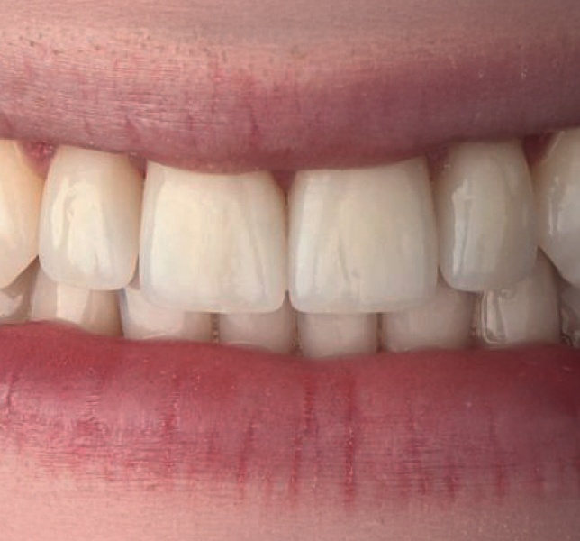
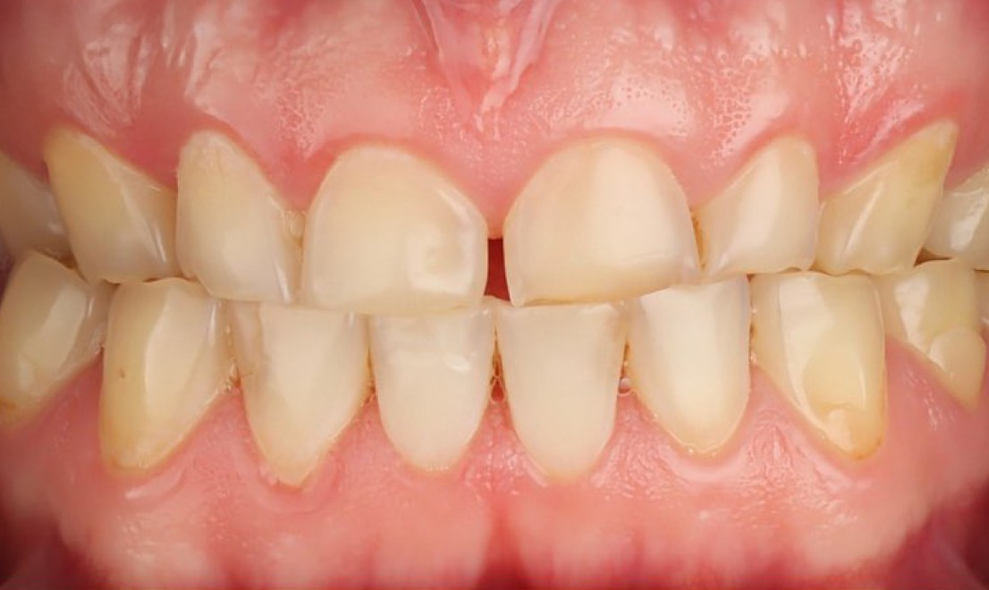
ZOBU ATJAUNOŠANA AR VENĪRIEM

  • Mēs sākam ar konsultāciju, kuras laikā zobārsts novērtē jūsu zobus un apspriež jūsu mērķus.
  • Kopā ar ārstu jūs pielaikojat venīru prototipus nodrošinot, ka tie ir ideāli atbilstoši.
  • Pēc zobu sagatavošanas tiek individuāli izgatavoti venīri zobu tehniskā labaratorijā, kas atbilst jūsu izvēlētai zobu formai, izmēram un krāsai.
  • Ja nepieciešams, mēs veicam nelielas korekcijas, lai nodrošinātu optimālu integrāciju sakodienā un funkcionalitāti. Zobārsts sniedz konsultācijas par kopšanu, lai jūsu venīri ilgstoši kalpotu.

VENĪRU priekšrocības

01

Dabisks izskats

Venīri tiek izgatavoti individuāli, lai atbilstu jūsu dabisko zobu krāsai, formai un izmēram, veidojot dabisku izskatu, kas uzlabo jūsu smaidu.

02

Liela izturība

Venīri tiek izgatavoti no tāda izturīga materiāla kā porcelāns, un ir īpaši noturīgi pret krāsas izmaiņām, kas ilgstoši nodrošina mirdzošu un skaistu smaidu.

03

Minimāli invazīvi

Venīriem ir jāveic minimāla zobu sagatavošana salīdzinājumā ar citu protēžu veidiem, kas ļauj maksimāli saglabāt zobu dabisko struktūru.

IEPAZĪSTIET MŪSU ĀRSTUS

Mūsu pieredzējušie speciālisti pārveidos jūsu smaidu ar estētiskām procedūrām.

Victoria Seya

Atsauksmes

Man bija ļoti bail izraut visus četrus gudrības zobus, bet Dr. Spulle un viņa komanda paveica lielisku darbu – tas bija ātri, nesāpīgi, un atveseļošanās noritēja viegli, bez pietūkuma un iekaisuma. Liels paldies! Esmu priecīga, ka izvēlējos šo klīniku.

Evita Kviese-Poliņa

Labākā zobārstniecība! Ātri un kvalitatīvi atjaunoja zaudētu zobu ar implantu un cirkonija kroni. Nevar atšķirt no īsta zoba. Paldies!!!

Yuriy Korolev

Lieliska zobārstniecības klīnika ar profesionāliem zobārstiem. Ķirurģija tiek veikta augstā līmenī! Arī protēzēšana ir izcila – ar lielisku estētisko redzējumu. Iesaku!

Alexander “schuremann” Platz

Jau pāris gadus nāku tikai uz šo klīniku – moderna, patīkama. Šoreiz bija nepieciešami ātrāki pieraksti un tiku pie daktera Butāna. Nevaru iedomāties labāku aprūpi un profesionalitāti no zobārsta puses. Paldies!

Zane Pavāre

B.U.J.

Atrodiet atbildes uz pacientu visbiežāk uzdotajiem jautājumiem. Ja jums ir vēl kādi jautājumi, pierakstieties uz konsultāciju, kur mūsu speciālists sniegs visu informāciju.

Venīri parast kalpo 10–15 gadus, ja par tiem pareizi rūpējas, lai gan daži venīri var kalpot vēl ilgāk.

Nē, parasti šis process nerada diskomfortu, un zobu sagatavošanas laikā, lai nodrošinātu minimālu diskomfortu, izmanto vietējo anestēziju.

Jā, venīri var palīdzēt uzlabot zobu izskatu, ja zobi ir nedaudz šķībi, nodrošinot līdzenāku zobu rindu smaida laikā bez vajadzības lietot breketes.

Nē, par venīriem jārūpējas tāpat kā par parastajiem zobiem — regulāri jātīra, jāizmanto zobu diegs un regulāri jādodas pie ārsta uz pārbaudi, lai venīri saglabātos ideālā stāvoklī.

PIETEIKTIES KONSULTĀCIJAI

Mūsu specialisti ir šeit, lai palīdzētu jums iegūt sapņu smaidu un atbrīvot no zobu sāpēm.piesakieties vizītei, lai uzzinātu vairāk par procedūrām.

VAI AIZPILDIET VEIDLAPU